你有没有想过,人体内那个默默无闻却至关重要的器官——肾脏,它究竟长什么样呢?今天,就让我带你一起揭开肾脏的神秘面纱,用一幅幅真实的人肾图片,带你领略这个小小器官的强大与美丽。
肾脏的轮廓

肾脏,这个位于腰部的小型器官,形状就像一个蚕豆。它长约10-12厘米,宽约5-6厘米,厚约3-4厘米。当你拿起一张人肾图片,你会发现,肾脏的颜色呈红褐色,表面光滑,布满了细小的血管。
肾脏的内部结构

肾脏的内部结构复杂而精密。它由皮质、髓质和肾盂三部分组成。皮质位于肾脏的外层,含有丰富的肾小球和肾小管,是肾脏进行过滤和重吸收的主要场所。髓质则位于皮质内部,由肾锥体组成,负责将尿液输送到肾盂。肾盂则是肾脏的出口,尿液从这里流入输尿管,最终排出体外。
肾脏的功能

肾脏的功能可不止是过滤尿液那么简单。它还有调节血压、维持电解质平衡、产生红细胞生成素等多种重要功能。当你看到一张张人肾图片,你会惊叹于这个小小器官的强大。
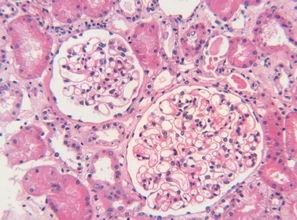
肾脏的疾病
虽然肾脏功能强大,但仍然容易受到各种疾病的侵袭。肾小球肾炎、肾结石、肾盂肾炎、肾衰竭等都是常见的肾脏疾病。当你仔细观察人肾图片,你会发现,肾脏的病变往往会导致其形态和颜色发生变化。
肾脏的保养
肾脏的健康离不开我们的日常保养。以下是一些有助于保护肾脏的建议:
1. 多喝水:每天喝足够的水,有助于稀释尿液,减少结石的形成。
2. 控制血压:高血压是导致肾脏疾病的重要因素之一,控制血压对肾脏健康至关重要。
3. 合理饮食:减少盐分摄入,多吃新鲜蔬菜和水果,有助于降低肾脏负担。
4. 定期体检:通过定期体检,可以及时发现肾脏疾病,尽早治疗。
肾脏的美丽
当你仔细观察人肾图片,你会发现,肾脏的美丽不仅仅在于其精密的结构,更在于它所承载的生命意义。这个小小的器官,每天都在默默地为我们的生命保驾护航。
肾脏这个看似平凡却至关重要的器官,值得我们用心去呵护。通过了解人肾图片,我们可以更加深入地认识这个神秘的器官,从而更好地保护我们的健康。让我们一起行动起来,关爱肾脏,关爱生命!